网站首页
关于我们
公司简介
平台展示
组织架构
荣誉资质
知识产权
发展历程
企业文化
服务项目
通辽测序分析服务
通辽细胞生物学实验
通辽分子生物学实验
通辽动物学实验
通辽组织病理学实验
通辽临床前CRO
通辽类器官技术服务
合作流程
新闻资讯
公司动态
行业资讯
专业知识
联系我们
025-87183621
网站首页
关于我们
公司简介
平台展示
组织架构
荣誉资质
知识产权
发展历程
企业文化
服务项目
通辽测序分析服务
通辽细胞生物学实验
通辽分子生物学实验
通辽动物学实验
通辽组织病理学实验
通辽临床前CRO
通辽类器官技术服务
合作流程
新闻资讯
公司动态
行业资讯
专业知识
联系我们
公司动态
行业资讯
专业知识
首页
>>
新闻资讯
>>
专业知识
专业知识
公司动态
行业资讯
专业知识
实验外包——记忆障碍动物模型介绍
2025-12-01
引起动物的记忆障碍有多种方法,包括电休克、缺血缺氧、某些化学药品等。对记忆障碍的测定则采用学习记忆的实验方法。在此先介绍常用的学习记忆实验法。1学习、记忆实验法(···
AD动物模型构建
2025-11-28
一、服务简介动物:大鼠,SPF级,健康,雄性造模方法:1,经腹腔注射麻醉大鼠;剃除头顶部毛发后固定于脑立体定位以上,手术区皮肤消毒,切开皮肤,暴露颅骨。2,参照大鼠脑立体···
深度水解蛋白的无乳糖奶粉对无菌大鼠的培育有何作用
2025-11-26
目的无菌大鼠的培育中,出生后饲喂的人工配制乳对于无菌大鼠的培养至关重要。 深度水解蛋白的无乳糖奶粉,便于婴幼儿吸收,减少了各种消化不良和过敏反应,那么在无菌大鼠使用的···
切片质量参差不齐?我们总结了15个HE染色常见问题及解决方法
2025-11-24
HE染色,全称苏木精-伊红染色法(Hematoxylin and Eosin staining),是最常见的组织切片染色技术之一,用于在显微镜下观察和分析组织或细胞的结构和形态。虽然HE染色是最常···
超全干货!病理实验动物取材步骤注意事项(含不同脏器取材细节)
2025-11-21
在病理实验中,对不同部位组织进行取材是实验能够顺利进行的第一步,也是获得有效数据的关键。因此,本篇文章带大家了解病理实验动物【取材】的详细步骤及注意事项。一、取···
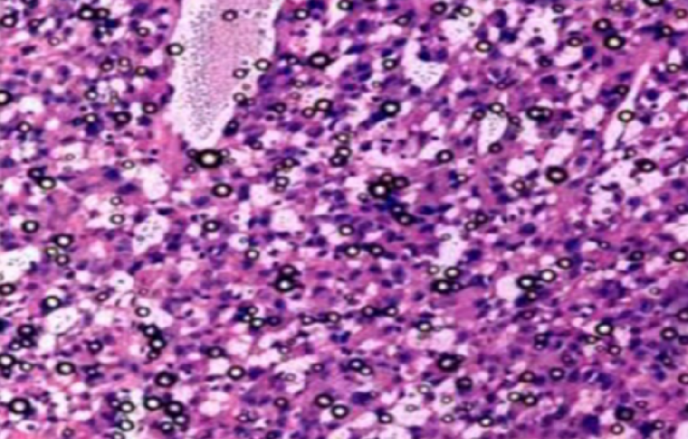
肾组织病理染色结果怎么看?超全攻略,建议码住
2025-11-19
肾是人体主要的排泄器官,以形成尿液的方式排出体内的代谢废物,对人体的水盐代谢和离子平衡起调节作用,参与维持机体内环境的相对稳定,此外,肾还分泌多种生物活性物质,···
首页
<<
1
2
3
4
5
···
2/61
>>
尾页
热门新闻
分子实验PCR具有的优点和电泳缓冲液的选择
2025-12-15
动物实验中判断动物健康原则有这些
2025-12-12
实验外包——免疫学检测方法与免疫技术
2025-12-10
化学方法建立的慢性肾功能衰竭模型
2025-12-08
凋亡、自噬与程序性坏死有什么关联吗?
2025-12-06
免疫沉淀实验
2025-12-03
在线留言
Online message
姓名
电话
留言内容
提交信息
联系我们
Contact us
南京东极生物科技有限公司
扫一扫关注
地址:南京市六合区新港湾路166号协合智谷产业园16-3栋
电话:139-1599-6230 025-87183621
邮箱:sales@dj-cro.com
网址:http://tongliao.dj-cro.com
友情链接:
Copyright © 2023 南京东极生物科技有限公司版权所有 All Rights Reserved.
苏ICP备13041166号-5
XML地图
QQ
微博
首页
电话
返回顶部